Con 29 personas expuestas y 15 con síntomas, el Ministerio de Salud de la provincia de Buenos Aires emitió un alerta epidemiológica por un brote de triquinosis. Según indicaron, se debe a alimentados contaminados, más específicamente panceta y chorizo seco, que “se distribuyeron en los municipios de Daireaux, Hipólito Yrigoyen, Coronel Suárez, Saavedra, Tres Lomas, Trenque Lauquen, Puan, Rivadavia y Adolfo Alsina”.
El documento, que fue emitido en las últimas horas por los ministerios de Desarrollo Agrario y Salud, asegura que “emitieron una alerta epidemiológica tras la detección de casos sospechosos de triquinosis en distritos del interior bonaerense”. “Hasta el momento, se notificaron 29 personas expuestas, 15 de las cuales desarrollaron síntomas; de los municipios de Adolfo Alsina y Salliqueló, y los alimentos involucrados fueron panceta y chorizo seco”, resaltaron.
Asimismo, el escrito detalla: “Las muestras de ambos productos analizadas por el laboratorio denunciante resultaron positivas a Trichinella spiralis”. Al tiempo que resalta que provenían de una fábrica ubicada en el municipio de Salliqueló.
Triquinosis avanza en Argentina: 29 expuestos y 15 con síntomas en distintas regiones Gettyimages
“Según información preliminar, estos alimentos se distribuyeron en los municipios de Daireaux, Hipólito Yrigoyen, Coronel Suárez, Saavedra, Tres Lomas, Trenque Lauquen, Puan, Rivadavia y Adolfo Alsina. Frente a esto, se convocó a los equipos de salud a intensificar la vigilancia epidemiológica de casos de triquinosis en los municipios señalados, y se instó a las secretarías de Salud y oficinas bromatológicas de esos distritos a proceder a la investigación de los mismos”, agrega el documento.
Al tiempo que, centrados en la zona donde se detectaron los casos, recomendaron “tomar las medidas de prevención y la consulta oportuna ante la presencia de síntomas”.
Qué es la triquinosis
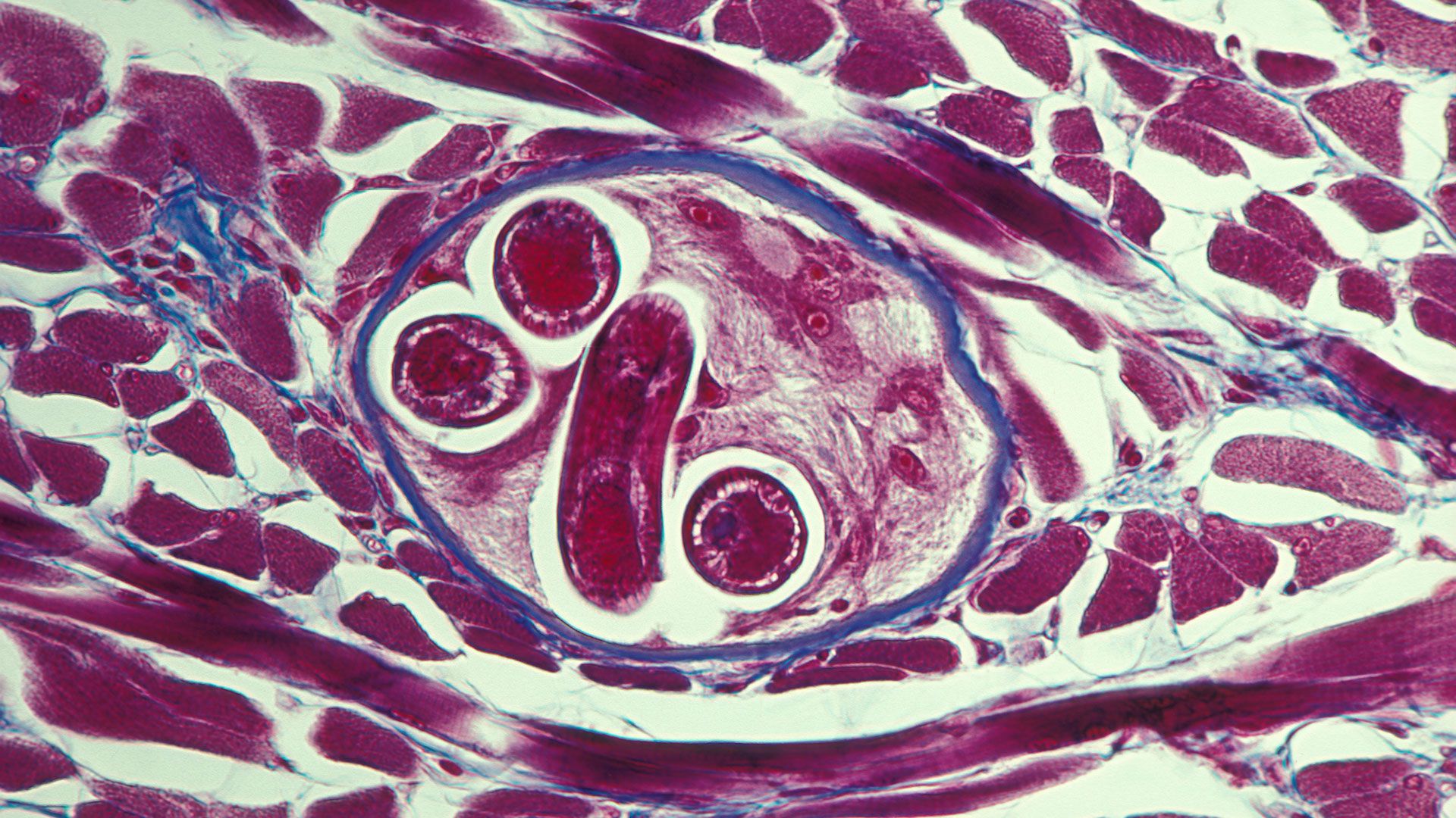
Según indicaron desde la cartera sanitaria bonaerense, “la triquinosis o trichinellosis es una enfermedad parasitaria causada por las larvas y parásitos adultos de nematodes del género Trichinella, que afecta al ser humano, mamíferos domésticos y silvestres, aves y reptiles”.
Se trata de una zoonosis, la cual se transmite al ser humano, de modo accidental, por la ingestión de carne o derivados cárnicos, crudos o mal cocidos, que contengan larvas musculares viables. Asimismo, desde la Organización Mundial de la Salud (OMS) aseguran que, además de los animales enumerados por el Ministerio de Salud bonaerense, “los cerdos domésticos, jabalíes, osos, roedores y caballos son animales reservorios.
Alimentos contaminados desencadenan alerta por triquinosis en el interior bonaerense Archivo
De acuerdo con datos de la OMS, estos parásitos están “presentes en todo el mundo, con mayor frecuencia en las regiones de climas templados. Cada año, a escala mundial, se infectan alrededor de 10.000 personas”.
Cómo se transmite la triquinosis
“Las personas se contagian de modo accidental, por la ingestión de carne o derivados cárnicos, crudos o mal cocidos, que contengan larvas del parásito vivos. En Argentina, la principal fuente de infección para el ser humano es el cerdo doméstico, aunque también existen otras, como el jabalí o el puma”, enumeró el Ministerio de Salud nacional.
Mientras que el Servicio Nacional de Sanidad y Calidad Agroalimentaria (Senasa) destacó que también puede contraerse tras el consumo de “productos sin cocción, como chacinados o embutidos (salames, chorizos, bondiola), elaborados con carnes que no han sido analizadas previamente”. Al tiempo que aclaran: “Las larvas no se observan a simple vista y no alteran ni las características externas, ni el sabor ni el color de la carne o de sus derivados”.
Triquinosis se propaga en nueve municipios bonaerenses: llamado a la prevención y vigilancia (Photo by Nathan Stirk/Getty Images)
¿Cuáles son sus síntomas de la triquinosis?
Entre los síntomas más comunes, según indican desde Senasa, las personas que se contagian de triquinosis presentan:
– Fiebre
– Dolores musculares
– Diarrea
– Vómitos
– Hinchazón de párpados y picazón.
– Erupción en la piel
– Decaimiento similar al de la gripe.
Ministerios de Salud y Desarrollo Agrario alertan por brote de triquinosis en interior bonaerense CREDIT: John Worthington
“Ante estos síntomas acudí inmediatamente al centro de salud más cercano”, resaltaron desde la cartera que lidera Carla Vizzotti. Y agregaron: “Cuanto más temprano se detecte, más rápida y efectiva es la cura”.
En tanto, según el alerta emitido por el Ministerio de Salud bonaerense, “se considera ‘caso sospechoso’ de triquinosis a toda persona con antecedente de haber ingerido carne de cerdo o de animal silvestre y derivados hasta 45 días antes del inicio de los síntomas y que presente fiebre y uno o más de los siguientes signos: edema facial y/o periorbital, mialgias, conjuntivitis tarsal bilateral, y/o diarrea, eosinofilia y/o enzimas musculares elevadas (LDH, CPK, etc)”.
“En la provincia de Buenos Aires los brotes de triquinosis se producen en su mayoría durante la época de bajas temperaturas, y la distribución temporal de los casos históricos evidencia un aumento en el periodo que abarca de julio a octubre”, indicaron en el escrito.
Cuáles son las recomendaciones para evitar el contagio
Alerta epidemiológica en Argentina por brote de triquinosis: 15 personas con síntomas REUTERS/Stringer
Según la cartera sanitaria bonaerense, se recomienda “no consumir productos de la fábrica de Chacinados del partido de Salliqueló, AGROINDUSTRIA LOS ANDRÉS” CUIT 30-71205283-6 con rótulo marca ‘Don Andrés’”. Al tiempo que indica: “Consultar en forma oportuna ante síntomas como hinchazón en los párpados o cara (edema facial y/o periorbitario), fiebre, dolores musculares, luego de varios días de diarrea y otros signos gastrointestinales”.
Además, el Senasa recomendó adoptar las siguientes medidas preventivas:
– Adquiera chacinados y embutidos de origen porcino o de animales de caza, que hayan sido inspeccionados y certificados por el Senasa u otros organismos provinciales o municipales. Los productos deben estar identificados con un rótulo que garantice su control.
– No compre productos ofrecidos mediante la venta callejera ya que son de origen desconocido y no poseen certificación, por lo que significa un alto riesgo para su salud.
– Cocine bien la carne de cerdo, hasta que desaparezca el color rosado en su interior.
– Considere que la salazón, el ahumado o la cocción con microondas no matan al parásito.
– Antes de elaborar chacinados o embutidos para autoconsumo, debe remitir una muestra de entraña de cada cerdo a un laboratorio para que sea analizada.
Fuente: Infobae

Deja el primer comentario